Discover our APP Center

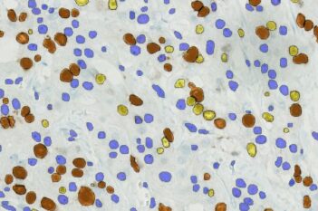
Browse our selection of over 130 APPs for clinical use to research use, each designed to solve a specific problem using our tissue image analysis software. Our vast range of APPs covers all tissue, stain, and imaging modalities. Browse by category below.

CE-IVD APPs: For use as diagnostic decision support

Translational: For translational research

Research APPs: For Phenoplex and Discovery, low- to high-plex

Quickstart: Research APPs that provide a starting point for developing your workflow

Research solutions

Learn more about our digital image analysis solutions for pathology research.

Diagnostics solutions

Learn more about our digital image analysis solutions for pathology diagnostics.

Couldn't find what you were looking for?

Talk to our specialists to get answers to your questions.

Success
Your message has been successfully sent!