PR APP, Breast Cancer PR APP, Breast Cancer

Process APP

Revert

#90003

CE-IVD

PR APP, Breast Cancer

Certified under IVDR

In immunohistochemistry (IHC), progesteron receptor (PR) is used to determine prognosis in breast cancer. The American Society of Clinical Oncology/College of American Pathologists (ASCO/CAP) recommends that the PR status of patients is determined on all invasive breast cancers and breast cancer recurrences [1]. It is recommended that the PR status of the tumor is considered positive if there are at least 1 % positive tumor nuclei in a tissue sample.

The APP work fully automated in an integrated setting, from detecting the patient tissue to exporting the relevant outputs.

In EU/UK: CE IVD – for use in diagnostic procedures

Figure 1

Figure 1

After separating the patient tissue from the control tissue, the APP automatically finds the invasive tumor tissue and distinguishes it from healthy tissue, necrosis or carcinoma in situ regions. The APP will disregard any non invasive tissue for further analysis.

Figure 2

Figure 2

Outlines of identified invasive tissue. Nuclei will be detected and classified inside these regions.

Figure 3

Figure 3

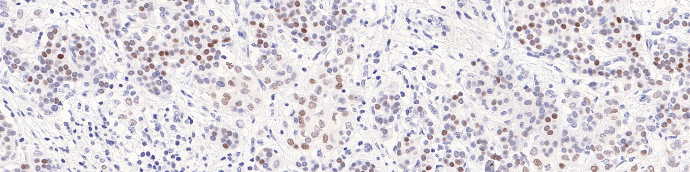
Nuclei within the invasive tissue are detected and classified based on their staining as positive or negative nuclei.

Details

Quantitative Output variables

The outputs of the device are:

Total Nuclei [#],

which is the total count of detected nuclei in all invasive tissue

Positive Nuclei [%],
which is a value between 0 and 100 and is calculated as

Positive Nuclei [%] = (Number of PR positive nuclei)/(Total number of nuclei) × 100

An optional output is the

Allred Score,
which is a value between 0 and 8 and is calculated as

Allred Score = Proportion Score + Intensity Score

where Proportion Score is a value between 0 and 5 which reflects the positive percentage, and Intensity Score is a value between 0 and 3 which reflects the intensity of the PR positive nuclei.

References

1. Allison KH et al., Estrogen and Progesterone Receptor Testing in Breast Cancer: ASCO/CAP Guideline Update. J Clin Oncol. 2020
Link

Success
Your message has been successfully sent!