PD-L1 APP, NSCLC  PD-L1 APP, NSCLC 

Process APP

Revert

#10183

RUO

PD-L1 APP, NSCLC 

Immunotherapies directed at programmed death ligand 1 (PD-L1) and its receptor (PD-1) have enhanced the survival rate of a group of patients with advanced lung cancer. Extensive research is being conducted to investigate better patient stratification.

Our PD-L1 solution is fully automated and does not require manual input during analysis. The solution consists of four automated analysis steps. Once started, it automatically separates the sample tissue from control tissues and robustly identifies invasive cancer areas in the sample. Tumor cells are counted based on their PD-L1 expression and the resulting Tumor Proportion Score (TPS) for the whole tumor area is calculated. 

Figure 1

Figure 1

Tissue detection 

Detection of sample tissue and exclusion of control tissues.

Figure 2

Figure 2

Invasive tumor detection 

Automatic detection of invasive tumor tissue or manual outline of tumor region directly on the PD-L1 slide. 

Figure 3

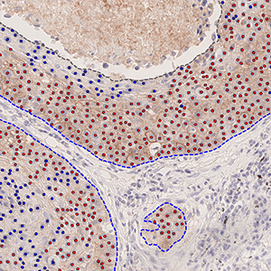
Figure 3

PD-L1 – nuclear detection 

Nuclear detection with classification of positive (red) and negative (blue) cells based on PD-L1 membrane stain. 

Figure 4

Figure 4

Heat Map 

Optional visualization of the distribution of positive cells. 

Details

Quantitative Output variables

The output variables obtained from this protocol are:

Total Tumor Nuclei (#): The number of tumor nuclei within all ROIs
TPS (%): The PD-L1 Tumor Proportion Score (TPS)

Workflow

Step 1:
After scanning, the PACS/LIS/IMS informs the Visiopharm software about the new image and the analysis of the image is automatically started.

Alternatively, the analysis can be started manually by opening the image and starting the analysis.

Step 2:
The pathologist reviews the fully analyzed image. If needed, adjustments can be made. Once reviewed, pathologists sign off the case in the system.

Success
Your message has been successfully sent!